IgA, IgD, , IgE, IGF-1, IGFBP5, IgG, IgG2b, IgM, Integrin α2, Integrin β4, Integrin α9, Integrin α2b, Integrin β1, Integrin Ⅱb, Iba-1, ICAM, iNOS, Involucrin, IL-1~IL-17, IL 1β,インスリン・グルカゴン蛍光重染色, Influenza A Virus H1N1, IFN-γ , IGF1 R, isolectin B4, インスリンレセプター, IFNβ1,

マウス大脳(海馬) 蛍光重染色
Iba-1染色

マウス大脳 Iba-1 
マウス大脳 Iba-1
インスリン(insulin)染色

insulin(ラット膵臓:蛍光重染色) 
insulin(ラット膵臓:DAB)
Insulin receptor染色

マウス大脳 InsulinR 
マウス大脳 InsulinR 
マウス大脳 InsulinR
IgA染色

マウス パイエル板 IgA 
マウス腎臓 IgA
IgG染色

マウス腎臓 IgG(蛍光) 
マウス腎臓 IgG(蛍光) 
マウス腎臓 IgG(蛍光)
iNOS染色

マウス肺 iNOS 
マウス肺 iNOS
Involucrin染色

3次元培養皮膚 Involucrin 
3次元培養皮膚 Involucrin
インタ-ロイキン染色
IL-13染色

マウス腫瘍 IL-13 
マウス腫瘍 IL-13
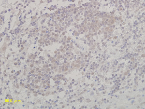
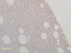
IL-23染色

ラット腫瘍 IL-23 
ラット腫瘍 IL-23
